医药网3月15日讯 近些年来,肺癌的发病率逐渐升高。据统计,2015 年全球范围内新增癌症病例1410 万,820 万人死于癌症,预计未来20 年新发病例数将增加70%。由于人口老龄化、不良生活习惯、环境污染和传统手段治愈率较低等因素,我国已成为癌症发病和死亡大国。据全国肿瘤登记中心统计显示,2015 年中国癌症新增429.16 万例,死亡281.42 万例。其中肺癌和胃癌高居发病和死亡前两位。无论发病数还是死亡数,肺癌均排在恶性肿瘤第一位。
2015 年中国癌症死亡人数(千人)及占比

肺癌生存率与首次确诊时的疾病阶段高度相关。遗憾的是,肺癌是所有癌症类型中总体五年生存率几乎最低的癌症类型,仅为17%。如能在早期阶段确诊,则五年存活率会显著提高。因此,肺癌早期诊断和进行有效的筛查能挽救很多病人的生命,是目前预防与应对肺癌工作的关键。
使用X射线影像筛查是目前最常用,最直接的筛查手段,在中国的绝大部分区域,X射线胸片检查是肺癌筛查的关键,如何精准的筛查出疑似病灶点成为DR设备的不断追求。可以说,以往的DR单一检查方式已完全不能满足目前国内肺癌发展的态势,因为胸部肿块易躲藏的部位在脊柱旁、肋骨覆盖、心脏侧面、肺门附近等,单一的胸片摄影较容易遗漏病灶点,使用一台不具备可视化点片功能的DR设备进行肺癌早期筛查,不免让人堪忧。
以下案例即是如此,由于缺乏可视化点片功能,单一的胸片摄影筛查无法第一时间给出准确的诊断结果,反复误诊之后给病患及家属留下的是无尽的遗憾。
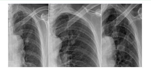
案例一:

第一年 第二年 第三年
案例解析:
在该案例中,病患在单一胸片检查中,诊断出左上肺高密度结节影,前两次在胸片摄影检查得出的诊断结果并无大碍。相隔一年再去复查被误诊为“结核硬结灶”,并针对此而治疗。但是,到了第三年之后,再次诊断发现结节影明显增大,后才被确诊为是肺癌,但为时已晚;如使用具备可视化点片功能的DR设备,胸片与胸透无缝结合,在透视下对“高密度结节影”全方位、多角度的高清点片获取更多的确诊信息,进一步病理分析,第一时间得出确诊结果,做到早发现、早治疗,结果将会截然不同。
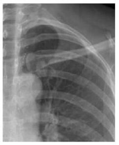
案例二:

图二 左锁骨重叠致密结节,误为衣服纽扣,病理肺腺癌
案例解析:
该病例发生在国内某基层医院,病患首先通过胸片摄影筛查,显示出左上肺野内带高密度椭圆形结节,由于形状与纽扣极为相似,误为衣服纽扣,并未做进一步诊断。第二年之后,病患再来复查,却发现照片上结节影增大,立即进一步诊断检查,最终经过活检证实为肺癌,错过了最佳的肺癌治疗期。
类似的临床案例不胜枚举。在我国,尤其是在拥有庞大数量级的二级及其以下医院中,由于医疗设备落后、人力资源以及专业技术水平上的限制,存在多种因胸片摄影筛查无法第一时间给出准确的诊断结果,
错过最佳的肺癌治疗期,导致目前国内肺癌检出者中,超过87%以上为中、晚期患者,治愈率长年处于较低水平。随着2017年全国两会的的召开,“医疗改革”“精准诊断”再次为全国人民最关注的核心问题,如何提高肺癌早期的检出率,做到早诊断、早治疗成为目前抑制肺癌的棘手难题。
X射线筛查作为肺癌筛查的首选,常分为胸片和胸透两种检查方式,各有利弊。胸片检查的优点是影像清晰,对比度较好,能留有永久记录,供复查对比、会诊讨论用,缺点是不能观察活动器官和骨骼的运动情况,存在盲区;而胸透检查的优点是可通过转动病人体位,进行多角度观察,并能观察内脏器官的运动情况,医生可通过胸透,对病灶进行多方位动态观察以帮助诊断,缺点是分辨率不足,对比度低。据以上对比可知,胸透的优点是胸片的不足之处,而胸片的优点正是胸透的缺点,只有两者取长补短,配合使用,才能充分发挥其精准诊断的效用。纵观目前全球DR设备技术发展,DR的可视化点片技术即是最好的结合两者优势,在胸透中实现胸片的获取,可以说是肺癌筛查设备的不二选择,如继续单一使用胸片或者胸透检查,DR不具备可视化点片功能,肺癌的筛查让人堪忧!

